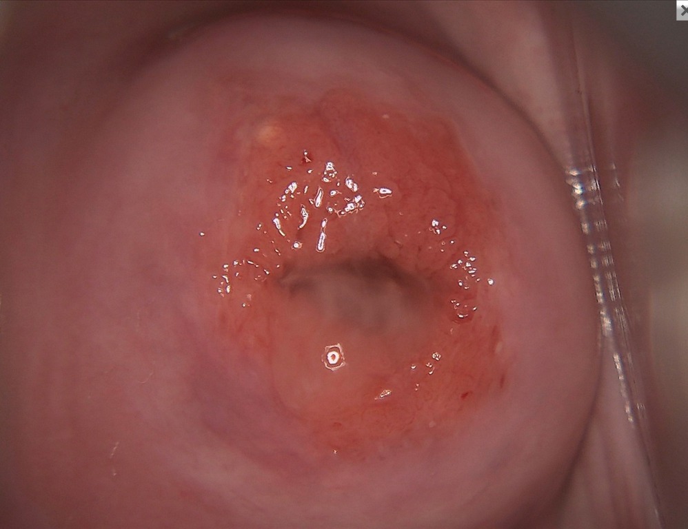
La cervicitis es una inflamación del cuello uterino (cérvix), que puede ser causada por infecciones, irritación química o traumatismos. Puede ser aguda o crónica, y a menudo cursa con pocos síntomas, aunque algunas mujeres presentan flujo vaginal anormal, sangrado poscoital o dispareunia (dolor durante las relaciones sexuales).
La fisiopatología depende de la causa, pero en general involucra los siguientes mecanismos:
Infección del epitelio cervical
- El cérvix tiene dos tipos de epitelio:
- Epitelio escamoso (exocérvix)
- Epitelio columnar (endocérvix)
- Los microorganismos patógenos, como Chlamydia trachomatis, Neisseria gonorrhoeae, Trichomonas vaginalis, Mycoplasma genitalium o virus como el VPH o HSV, pueden invadir el epitelio columnar del endocérvix.
- Esta invasión genera una respuesta inflamatoria local con infiltrado de leucocitos (neutrófilos, linfocitos y macrófagos).
Liberación de mediadores inflamatorios
- Las células epiteliales infectadas liberan citocinas proinflamatorias (IL-1, IL-6, TNF-α), que aumentan la permeabilidad vascular y atraen más células inmunes.
- Se produce edema, hiperemia (enrojecimiento) y aumento de secreciones cervicales.
Daño tisular
- La inflamación sostenida puede dañar el epitelio, provocando erosiones o ectropión (protrusión del epitelio columnar hacia el exterior).
- Esto facilita nuevas infecciones y puede alterar el pH vaginal y la microbiota normal.
Crónificación
- Si la causa infecciosa o irritativa persiste, la inflamación se vuelve crónica, con metaplasia escamosa (sustitución del epitelio columnar por uno escamoso resistente), lo que puede alterar la función del moco cervical y aumentar la susceptibilidad a otras infecciones.

CAUSAS MÁS COMUNES
- Infecciosas:
- Chlamydia trachomatis (la más frecuente)
- Neisseria gonorrhoeae
- Trichomonas vaginalis
- Mycoplasma genitalium
- Virus del herpes simple (VHS)
- Virus del papiloma humano (VPH)
- No infecciosas:
- Irritación por duchas vaginales, espermicidas o dispositivos intrauterinos (DIU)
- Trauma físico o químico

SINTOMAS
|
Tipo de síntoma |
Descripción |
Frecuencia / Observación clínica |
| Flujo vaginal anormal | Mucopurulento, amarillento o verdoso; a veces con mal olor | Muy frecuente |
| Sangrado vaginal anormal | Después de relaciones sexuales (sangrado poscoital) o entre menstruaciones | Frecuente |
| Dolor pélvico o en la parte baja del abdomen | Dolor leve o sensación de presión pélvica | Ocasional |
| Dispareunia (dolor durante el coito) | Por inflamación o friabilidad cervical | Frecuente |
| Prurito o ardor vaginal | Asociado a infecciones concomitantes (p. ej., Trichomonas) | Variable |
| Disuria (ardor al orinar) | Puede presentarse si hay extensión al tracto urinario inferior | Menos común |
| Asintomática | Sin manifestaciones clínicas visibles; hallazgo en examen ginecológico | Muy común en cervicitis crónica o por Chlamydia |
FACTORES DE RIESGO
| Categoría | Factor de riesgo | Descripción / Ejemplo |
| Conductuales | Múltiples parejas sexuales | Aumenta la probabilidad de exposición a ITS (Chlamydia, Gonorrea, etc.) |
| Inicio temprano de relaciones sexuales | Mayor vulnerabilidad del epitelio cervical inmaduro a infecciones | |
| Relaciones sexuales sin protección | Falta de uso de preservativo facilita la transmisión de agentes infecciosos | |
| Infecciosos | Infección previa por ITS | Historial de Chlamydia trachomatis, Neisseria gonorrhoeae, Trichomonas vaginalis, Mycoplasma genitalium, etc. |
| Pareja sexual con ITS | Transmisión directa de patógenos | |
| Hormonales / fisiológicos | Cambios hormonales | Alteraciones en el moco cervical que pueden favorecer la colonización bacteriana |
| Iatrogénicos | Uso prolongado de dispositivos intrauterinos (DIU) | Puede causar irritación o facilitar infección si no se mantiene higiene adecuada |
| Duchas vaginales o productos irritantes | Alteran el pH y la microbiota vaginal normal, favoreciendo infecciones | |
| Inmunológicos | Inmunosupresión | Por VIH, uso de corticoides o quimioterapia; disminuye defensa local |
| Otros | Mala higiene genital | Puede alterar la flora vaginal protectora y favorecer colonización patógena |

TRATAMIENTO QUE OFRECEMOS
Se basa en la evaluación con nuestros especialistas:
|
Tipo de cervicitis / Causa |
Tratamiento recomendado |
Notas / Observaciones clínicas |
| Cervicitis por Chlamydia trachomatis | ✅ Doxiciclina 100 mg VO cada 12 h por 7 días 💊 Alternativa: Azitromicina 1 g VO dosis única | Tratar también a la pareja sexual. Evitar relaciones sexuales hasta terminar tratamiento. |
| Cervicitis por Neisseria gonorrhoeae | ✅ Ceftriaxona 500 mg IM dosis única + Doxiciclina 100 mg VO cada 12 h por 7 días (para cubrir coinfección por Chlamydia) | Revisión a las 7–14 días. Tratar pareja sexual. |
| Cervicitis por Trichomonas vaginalis | ✅ Metronidazol 500 mg VO cada 12 h por 7 días 💊 Alternativa: Tinidazol 2 g VO dosis única | Evitar consumo de alcohol durante y 48 h después del tratamiento. Tratar a la pareja. |
| Cervicitis por Mycoplasma genitalium | ✅ Moxifloxacino 400 mg VO cada 24 h por 7–14 días | Se usa si falla el tratamiento con doxiciclina o azitromicina. |
| Cervicitis viral (Herpes simple) | ✅ Aciclovir 400 mg VO cada 8 h por 7–10 días | En recurrencias, se puede indicar tratamiento supresor. |
| Cervicitis no infecciosa (irritativa o traumática) | 🔹 Eliminar agente causal (p. ej. espermicidas, duchas vaginales, DIU, etc.) 🔹 Antiiflamatorios locales o tópicos si hay irritación | Reevaluar si persisten los síntomas; descartar infección subyacente. |
CRESUTHYL óvulos ( policresuleno+ d-panthenol + alantoina)
Restablece y mantiene el Ph ácido de la cavidad vaginal por sus propiedades químicas, estimula el crecimiento del Bacilo de Döderlein, restituye la barrera fisiológica de defensa y evita la proliferación de monilias, tricomonas o bacterias.

CONSEJO DE TU GINECÓLOGO
Si usted presenta un proceso inflamatorio del cuello uterino llamado cervicitis, que puede tener origen infeccioso o irritativo. Para lograr una recuperación completa y evitar complicaciones, le recomiendo seguir cuidadosamente las siguientes indicaciones:
- Cumpla todo el tratamiento indicado, tomando los medicamentos en la dosis y horario prescritos, aunque los síntomas desaparezcan antes. Suspender el tratamiento antes de tiempo puede causar recaídas.
- Evite las relaciones sexuales durante el tratamiento y hasta que el médico confirme la curación.
- Su pareja sexual también debe recibir tratamiento, ya que de lo contrario podría volver a contagiarse.
- En adelante, use preservativo en todas las relaciones sexuales, incluso con pareja estable, para prevenir infecciones de transmisión sexual.
- No utilice duchas vaginales, desodorantes íntimos ni jabones perfumados, pues alteran la flora y el pH vaginal, favoreciendo la irritación.
- Si usa DIU, espermicidas o tampones, coméntelo en su próxima consulta para evaluar si alguno puede estar causando irritación.
- Acuda a su control ginecológico según la cita indicada. Es importante confirmar que la inflamación haya desaparecido completamente.
- Mantenga una buena higiene íntima, use ropa interior de algodón y evite prendas muy ajustadas.
- Realice los exámenes de tamizaje de infecciones de transmisión sexual (como VIH, sífilis, hepatitis B y VPH) que le indique su médico.
- Cuide su salud general: aliméntese bien, duerma suficiente y evite el estrés excesivo, ya que un sistema inmune fuerte ayuda a prevenir nuevas infecciones.

DR. EDUARDO PANDIA ESTRADA
MÉDICO GINECÓLOGO-OBSTETRA
ESPECIALISTA EN GINECOLOGIA REGENERATIVA, ESTÉTICA Y FUNCIONAL
ESPECIALISTA EN MICROBIOTA Y DISBIOSIS VAGINAL
ESPECIALISTA EN TERAPIA HORMONAL INTELIGENTE





