En consulta ginecológica es frecuente escuchar el término “pólipo”, lo que suele generar preocupación inmediata en la paciente. Sin embargo, la mayoría de los pólipos ginecológicos son benignos y tienen tratamiento sencillo cuando está indicado.
Lo importante es saber qué tipo de pólipo es, dónde se encuentra y cuándo realmente necesita retirarse.
¿Qué es un pólipo?
Un pólipo es un crecimiento anormal de tejido que sobresale desde una mucosa. En ginecología, los más frecuentes son:
- Pólipos endometriales (dentro del útero)
- Pólipos cervicales (en el cuello uterino)
Generalmente se desarrollan por estimulación hormonal, especialmente por acción de los estrógenos.

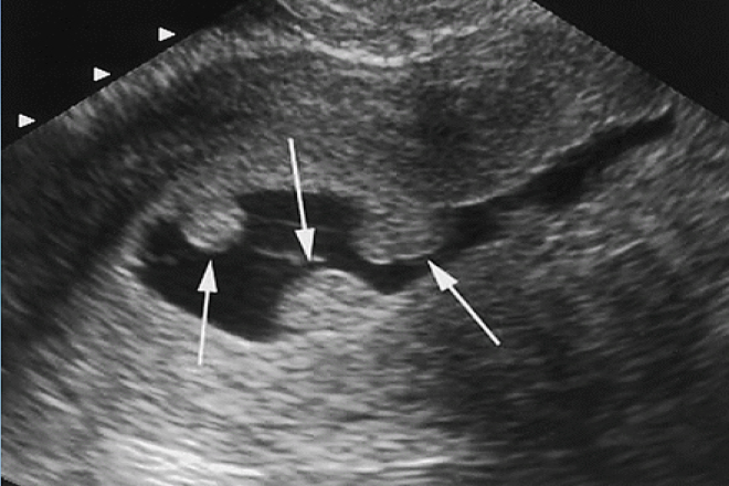
Pólipos Endometriales
Son crecimientos del revestimiento interno del útero (endometrio).
¿En quiénes son más frecuentes?
- Mujeres entre 30 y 50 años
- Pacientes con sangrado uterino anormal
- Mujeres con obesidad
- Síndrome de ovario poliquístico
- Perimenopausia y posmenopausia
- Uso de tamoxifeno
Síntomas más comunes
- Sangrado intermenstrual
- Menstruaciones abundantes
- Sangrado prolongado
- Manchado postcoital
- Sangrado en menopausia
- Infertilidad en algunos casos
Algunas pacientes no presentan síntomas y el hallazgo es incidental en ecografía.
¿Cómo realizamos la evaluación en nuestra clínica?
En Cemesfem salud realizamos un abordaje integral que incluye:
- Ecografía transvaginal
- Sonohisterografía
- Histeroscopía (método más preciso)
La histeroscopía permite ver el pólipo directamente y retirarlo en el mismo procedimiento.

¿Cuándo se deben retirar?
Se recomienda extracción cuando:
- Causan sangrado anormal
- Son mayores de 1–5 cc
- La paciente es posmenopáusica
- Hay infertilidad asociada
- Existen factores de riesgo de cáncer
- Persisten o crecen en controles
En mujeres jóvenes, asintomáticas y con pólipos pequeños, puede optarse por vigilancia.
Pólipos Cervicales
Se localizan en el cuello uterino (cérvix). Son más visibles en examen ginecológico con espéculo.
Características
- Pequeños y blandos
- Color rojizo
- Generalmente benignos
Síntomas
- Sangrado después de relaciones
- Flujo persistente
- Manchado intermenstrual
En muchos casos no producen síntomas.
¿Cuándo retirar un pólipo cervical?
La mayoría se retiran en consulta de forma ambulatoria cuando:
- Producen sangrado
- Son grandes
- Generan flujo persistente
- Existe duda diagnóstica
La extracción es sencilla y permite enviar el tejido a estudio para confirmar que es benigno.
¿Existe riesgo de cáncer?
La gran mayoría de pólipos ginecológicos son benignos.
El riesgo de malignidad es bajo (1–3% en pólipos endometriales) y aumenta en:
- Mujeres posmenopáusicas
- Sangrado postmenopáusico
- Obesidad
- Diabetes
- Pólipos grandes
Por eso el estudio histopatológico es importante cuando se retiran.
¿Cómo es el procedimiento de retiro en nuestra clínica?
Pólipo cervical:
- Se retira en consultorio
- Procedimiento breve
- Mínima molestia
- Recuperación inmediata
Pólipo endometrial:
- Se realiza mediante histeroscopía
- Procedimiento ambulatorio
- Recuperación rápida
- No afecta la fertilidad
Pólipos y fertilidad
Los pólipos endometriales pueden interferir con la implantación embrionaria. En mujeres que buscan embarazo, su retiro puede mejorar las probabilidades de concepción.
CONSEJO DE TU GINECOLOGO
Una evaluación adecuada te brindara el tratamiento ideal par tu caso, no todos los pólipos requieren cirugía inmediata. La decisión depende de:
- Edad
- Síntomas
- Tamaño
- Factores de riesgo
- Deseo reproductivo
El control ginecológico periódico permite detectarlos a tiempo y decidir el manejo más adecuado para cada paciente.






